Tuberculosis: en qué consiste, síntomas y tratamiento

El 24 de marzo se celebra el Día Mundial de la Tuberculosis en conmemoración del descubrimiento por Robert Koch de la bacteria desencadenante de la dolencia. Esta enfermedad infecciosa afecta a un tercio de la población del planeta, de los cuales solo una pequeña proporción sufrirá la patología activa..
Según datos de la Organización Mundial de la Salud (OMS), 1,8 millones de personas murieron de tuberculosis en 2008, mientras que 20 millones han conseguido superar esta dolencia gracias al tratamiento y control de la enfermedad.
Qué es la tuberculosis
La tuberculosis es una patología infecciosa provocada por la bacteria Mycobacterium tuberculosis y que afecta a los pulmones, aunque también puede desarrollarse en otros órganos. Se contagia a través del aire desde personas que sufren la variante activa y es considerada la enfermedad infecciosa más prevalente del mundo.
Síntomas y diagnóstico de la tuberculosis
En las personas sanas, el sistema inmunitario bloque las bacterias de la tuberculosis y no se produce la aparición de ningún síntoma. En cambio, la tuberculosis pulmonar activa se presenta con tos, esputo, dolor torácico, fiebre y sudoración nocturna.
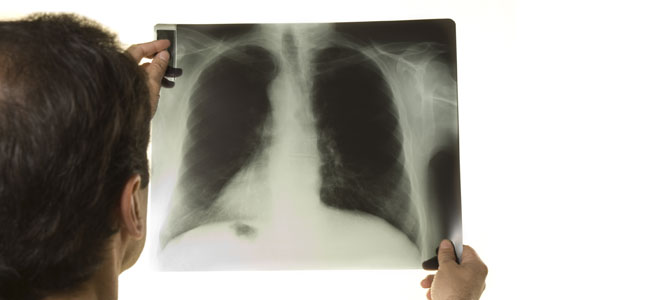
Para diagnosticar la enfermedad se precisa una radiografía del tórax o un cultivo biológico. En los pacientes inmunodeprimidos, en niños y ancianos, el 25% de los casos activos la tuberculosis sale de los pulmones y causa otras formas de la enfermedad.
Tratamiento y plan de acción contra la tuberculosis
Esta enfermedad requiere un tratamiento largo, a base de fármacos combinados, que puede llegar a durar 10 meses. Es esencial hacer un diagnóstico temprano y mantener la medicación, ya que la enfermedad se agrava rápidamente si se retiran los antituberculosos.
La OMS ha establecido el Plan Mundial para Detener la Tuberculosis 2011-2015, con el objetivo de introducir programas de salud pública referidos a la enfermedad y señalar los requerimientos en investigación que ayuden a erradicarla.
Puedes leer más artículos similares a Tuberculosis: en qué consiste, síntomas y tratamiento, en la categoría de Enfermedades en Diario Femenino.
Publicado:
Actualizado: